20150 Vision

Stem Cell Ophthalmology Treatment Study Scots For Retinal And Optic Nerve Diseases A Case Report Of Improvement In Relapsing Auto Immune Optic Neuropathy Abstract Europe Pmc

What Is It Like To Have Low Vision A New Sight Simulator Can Help You Understand Visionaware
Q Tbn 3aand9gctanckouzrrjwctw 3vyqqzrj6fa0srpitncbfmkag8aryazqqa Usqp Cau

Solved Problem 2 On Individuals The Extremely Near Sig Chegg Com

Giorgio Armani Eyeglasses Ar 7115 50 51 150 Tortoise Gunmetal Frames For Sale Online Ebay

Principle Of Visual Acuity Charts Class
Your doctor should check your child’s visual acuity every year, as well as examining the exterior and back of your child’s eyes.
.jpg)
20150 vision. Glasses, contact lenses, or corrective eye surgery can make such corrections. Legally blind and you will see / /0, which is legally blind /400. He or she will measure your eyesight while you’re wearing glasses or contact lenses.
The vision rehabilitation will often happen over several visits to the clinic. Low vision is a condition caused by eye disease, in which visual acuity is /70 or poorer in the better-seeing eye and cannot be corrected or improved with regular eyeglasses. A person with / vision is able to see letters 1/10th as large as someone with /0 vision.
A person with /70 vision can read only down to the third line on the Snellen chart, which represents low visual acuity compared with the norm 2. The term "/" and similar fractions (such as /40, /60, etc.) are visual acuity measurements. For instance, if your visual acuity is /100 in your better eye, that’s 50% central visual efficiency.
This means, that when you stand feet away from an eye chart, you see what the normal person should see. Well, all right, that sure looks helpful. So these figures are an approximation.
Maryland Pkwy., Ste 100 Las Vegas, NV 123 (702)636-10. Legal blindness is defined as /0 in the United States, All About Vision reports, so people with /70 vision are not considered legally blind 2. Some also include those who have a decreased ability to see because they do not have access to glasses or contact lenses.
There have been incredible advances in contact lenses over the years. Your doctor can help determine if cataracts are responsible for your vision changes and recommend the appropriate treatment options. I just had what i thought would be my routine eye exam yesterday and much to my surprise i found out that the vision in my left eye has gone from /60 with glasses to /150 with glasses in the last two years.
Thus, visual acuity, or resolving power (in daylight, central vision), is the property of cones. Ghosts are caused by residual astigmatism, or irregularities. Measuring your visual field.
For onsistency, doctors of optometry in the United Sates use feet as the standard for measuring sharpness of vision. LASIK of Nevada – Las Vegas South 8190 S. Visual impairment, also known as vision impairment or vision loss, is a decreased ability to see to a degree that causes problems not fixable by usual means, such as glasses.
And it’s not totally useless. Sight Simulator shows you what it's like to be legally blind. A query I receive frequently from readers is how to describe their low vision or vision loss to fully sighted family members and friends, who may find it difficult to understand how functional vision can vary significantly from one day to the next, or from daytime to nighttime.
The American Optometric Association states that a person with / vision can clearly identify a row of 9mm letters from feet. Since the Sutton sisters aren't disabled, United Airlines is under no obligation to explain why /0 vision correctable to / isn't acceptable but /100 vision correctable to / is. A variety of rehabilitation options help people with low vision live and work independently, efficiently and safely.
So not only are you. The name Vision Service Plan and the registered logo(s), service mark(s), and trademark(s) owned by Vision Service Plan or any of its subsidiaries or affiliates, and the contents of this site may not be used in any advertising or publicity, or other use without the prior explicit written permission of Vision Service Plan (VSP). You can test your vision using the Snellen Eye Chart, from 10 feet, 5 feet, 4 feet, 2 feet, 1 feet, or 1/2 foot, etc.
Other countries express visual acuity in their own way. Restrictions may include corrections or an outside mirror. Some people don’t like glasses or don’t prefer them.
They also are called Snellen fractions, named after Herman Snellen, the Dutch ophthalmologist who developed this measurement system in 1862. /10 Vision (or /1 Vision) with Contact Lenses. With mild color blindness (as is present in about 8% of males), the number may be misread as a "5", as shown in the middle.
Low vision is significant vision impairment that usually results from serious eye disease or an injury. Those people may wear contact lenses instead. / vision is a term used to express normal visual acuity (the clarity or sharpness of vision) measured at a distance of feet.
I cannot even see the big E, on line 1, what do I do?. Understanding What / Vision Means. This person isn’t considered legally blind, but they can have difficulty in.
Vision loss is light perception only (LPO) or no light perception (NLP). A person that can read all the letters on the chart will be said to have a / vision. * /150 means what a person with normal vision can see at 150 feet that person with poor vision needs to be at feet before he/she can see that same object.
Visual impairment is often defined as a best corrected visual acuity of worse than either /40 or. If during an eye test you can read the big E at the top of the eye chart, but none of the letters below that, your vision is considered /0. If vision is between /50 and /60 a daylight driving restriction may also be added.
This can include the use of glasses or contact lenses. What is / vision?. / vision is referred to as the standard, or how a “normal” person sees.
When your vision gets tested, the stress or discomfort you experience at the doctor’s office will usually cause you to experience the worst vision you ever do. A person with a visual acuity of /0 or worse with the use of glasses or contacts is considered legally blind. Many people who practice healthy vision habits and correct their defective vision with natural vision improvement techniques are usually able to obtain /10.
/15 vision, this means that that person could be at feet to see an object whereas normal people would have to be at 15 feet to see the same object. Myopia usually begins between the ages of 8 and 12 years and nearly always before the age of. For example, the first contact lenses were hard plastic.
The vision loss, which is characterized by either reduced visual acuity (to /70 or worse) or reduced field of view, can’t be fully corrected with glasses, contact lenses, medication or surgery. Use the table below for conversion between them. Blurry Vision Simulator Extreme Blurry Vision Simulator.
If you can only read. Now, you can get an idea of what a visual impairment actually looks like. Your vision might fall below /0 without them.
My eye dr did two hours worth of testing including 2 different. It is not serious vision problems In common, / vision is healthy eyesight for average human beings. Vision sensors & systems.
Since for a / vision, 1 M is read at 100 cm, then reading small print is much easier.Whereas if the patient has /80 vision, 1 M is read at 25 cm so patients have to use strong lenses to read clearly, or -- if they are near-sighted -- hold the paper much closer to the eyes compared with someone with / vision. Other symptoms can include vision loss and distinct halos around lights. To be eligible for a Wisconsin drivers license, you must be able to pass an eye test which measures the level of detail you can see clearly, as well as your distance and peripheral vision.
A person with /15 vision can see objects at feet that a person with / vision can only see at 15 feet. (Scheiman, Scheiman, and Whittaker) Visual Acuity and Low Vision. My vision has dropped from /60 to /150 in two years evegirl.
/150 and /0 are measurements of your visual acuity based on the Snellen chart. How the world can look with low vision. Visual Acuity values are represented in decimal, fraction (in feet or meters) and log MAR.
There is only 1 letter of difference on the vision chart between /100 and /0…they are that close in visual acuity. Wisconsin is consistent with other states in establishing /40 vision and 70 degree field of vision as the level for unrestricted driver licensing. If you have / vision, then the smallest letters you can read from feet away match the normal -foot distance.
Vision rehabilitation can vastly improve the quality of life. While some basic explanations do exist (cataracts = blurriness;. For example, if your right eye is /50 and your left eye is /150, is there a number for your overall vision at that point then?.
To be considered legally blind, your vision needs to be /0 or worse, which means you can read an eye chart at feet. If you have /100 vision, it means that you must be as close as feet to see what a person with normal. If you have / vision, you can see.
Blurred vision can coexist with ghosting, smeared vision, or other visual aberrations. Is 15/15 vision better than / vision?. There is no formula to add or combine the two visions and conclude a vision for both eyes.
Ever wondered how the world looks to those with glaucoma or cataracts?. Who is affected by myopia?. LASIK of Nevada – Las Vegas North 1225 S.
If a person goes to a low vision clinic, vision is measured on a different type of chart, and you may find his/her vision is /150 in a Feinbloom chart. A person is considered to have low vision or visual impairment if their best corrected vision is /40 or worse. They were durable, but often uncomfortable.
Hi, /100 vision is also a measurement of visual acuity. In the vision formula, the eyesight of the individual in question comes first. The number is based on you standing a distance of feet (considered to be the norm) in front of a Snellen or Tumbling E eye chart to test your visual acuity.
Most people with low vision can benefit from one or more treatment. You multiply your percentage of central visual efficiency (straight-ahead vision) by your percentage of visual field efficiency (peripheral vision) to come up with a combined percentage for overall visual efficiency. A visual acuity of /10 or better indicates excellent vision, although very few people possess it.
A new interactive site lets you see for yourself. Bad distance vision was considered "improved" if corrections boosted visual acuity to /40 or better. Cataracts are caused by the clouding of the eye’s natural lens and are the most common cause of vision loss in individuals over the age of 40.
/500* *Higher diopter values are harder to calculate because it depends on the person – some sources cite a whole range between -4.00 and -6.00 to reflect /400 vision. So, something to think about for those with vision problems. However, if on the Snellen chart or its equivalent, visual acuity is /0, they are still considered legally blind.
And /100 is a mild myopia that is about -1.75 to -2.00 diopters in diopters. And don't worry, you just only have mild myopia. / - Normal vision.
6/6 vision is defined as the ability to resolve two points of light separated by a visual angle of one minute of arc, corresponding to 60 PPD, or about 290–350 pixels per inch for a display on a device held 250 to 300 mm from the eye. These images demonstrate how individuals with normal color vision, and abnormal color vision, might view this color vision test. If vision in both eyes together is /50 or worse with or without glasses, the driver is referred to a vision specialist.
Normal vision is /, which means you can read an eye chart at feet. Doctors use eye charts to determine visual acuity, according to All About Vision. Those with normal vision would see the number "3" as shown on the left.
For example, someone who had /100 vision could see an object from feet away with the same clarity as a normal person would at 100 feet away. /150 vision who is feet from an eye chart sees what a person with / vision can see from 150 feet away. For some people it will be about right.
Each eye has a specific visual acuity. Legally blind individuals have /0 vision. Vision Test for Wisconsin Drivers:.
Genetics is also a factor. By contrast, /0 vision means the letters you can read from feet can be read from 0 feet by people with normal vision. At five years of age, vision of /40 or worse should be referred to an optometrist.
The minimum visual field standard is 105 degrees. 15/15 vision means normal sharpness of vision at 15 feet, just as / indicates normal sharpness of vision at feet. The term 'ghosting' was coined around 1957, and originally referred to the false image on a TV screen, caused by signal reflection.
YOU DON'T WANT TO BE THIS (SEES WORSE) /15 vision?. Your doctor will check your vision during a standard eye exam. / is not the best possible eyesight however, for example, /15 vision is better than /.
Children older than five with /30 or worse should be referred.

Eye And Vision At Birth And Childhood

Converting Vision Between Diopters And Xx

Faq For Vision Improvement By Hormetism Getting Stronger

Vision How To Convert Based Measure To Diopters Happy Eyesight

Introduction To Blindness And Low Vision Ppt Download

Patti Pics Double Sided Split Massvat Near Vision Eye Test Chart Precision Vision

Mont Blanc Mb0006s Yellow Blue 52 150 Men Sunglasses At Amazon Men S Clothing Store

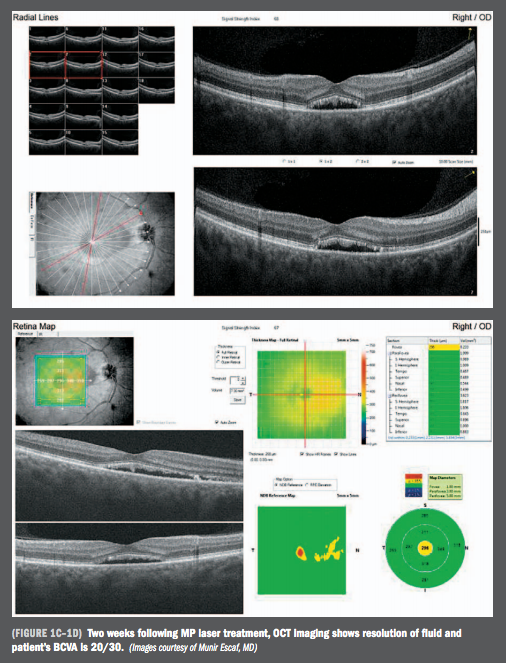
Laser Therapy May Offer Fast Acting Option For Csr Resolution Modern Retina

Problem 2 A Genome Wide Association Study Gwas I Chegg Com

Zbcszywzfqaw5m

Causes Of Low Vision And Use Of Optical Aids In The Elderly

Appendix The Massachusetts Eye And Ear Infirmary Illustrated Manual Of Ophthalmology 4th Ed

Salt New Salt Ted Mens Womens Designer Full Rim Havana Authentic Premium Segment Shipped From Usa Frame Demo Lenses 50 150 Eyeglasses Eyeglass Frame Walmart Com Walmart Com

Fundraiser By Blair Evans Help Save Blair S Eyesight
What Does Vision Mean American Academy Of Ophthalmology
Www Ntac Blind Msstate Edu Courses Files Intro to bvi narrative Pdf

What Is Vision How To Convert Diopters To A Measure Golden Eye Optometry

Newarrival Superlight D Pear02 Big Squarerim Unisex Glasses Frame 52 150 Plank Fullrim Slim Stainless Wire For Prescription Fullrim Case Green Eyeglasses Frames Helium Eyeglass Frames From Yunwo0123 45 21 Dhgate Com

Pdf Integrative Psychology And Therapeutics Object Distance Scaling In Real Space Is Preserved In Low Vision Subjects

Assesment Of Visual Acuity In Children
Http Www Teachingvisuallyimpaired Com Uploads 1 4 1 2 Near Acuity Equivalents Pdf

Vision How To Convert Based Measure To Diopters Happy Eyesight

What Is Vision How To Convert Diopters To A Measure

Ultrasonic Sensors Ut 150 Psm4

Causes Of Low Vision And Use Of Optical Aids In The Elderly
Q Tbn 3aand9gcrbo Ilfolzvqsunf J963uix6qiymwsywxn0uxnbuilsp Glte Usqp Cau
Http Www Ergoftalmologie Nl Presentaties 6 Kooijman Ref Colenbrander Pdf
Clinmedjournals Org Articles Ijocr International Journal Of Ophthalmology And Clinical Research Ijocr 4 0 Pdf

New Ahutentic Chrome Hearts Wyllywanker Vision Bmz 51 150 Ebay

How Do The And 6 6 Vision Scales Actually Work
Www Ntac Blind Msstate Edu Courses Files Intro to bvi narrative Pdf

Age Gender Hearing Sensitivity And Best Corrected Visual Acuity In Download Table

Ray Ban Rx53 Red Blk 53 150 Shopstyle Sunglasses
Uncw Edu Ehs Documents Unc Wilmington ppe policy Pdf

Pdf Extended Wear Soft Contact Lenses For Vision Studies In Monkeys Semantic Scholar

Visual Function Assessment In Low Vision

Hearing And Vision Loss Lawyer Chicago Il
Www Ntac Blind Msstate Edu Courses Files Intro to bvi narrative Pdf
Outcomes Of Vitrectomy For Diabetic Tractional Retinal Detachment In Chicago S County Health System

Mary Lou Jackson S Research Works University Of British Columbia Vancouver Vancouver Ubc And Other Places

Legally Blind What Does It Mean
Multco Us File Download

What Is It Like To Have Low Vision A New Sight Simulator Can Help You Understand Visionaware

Night Vision In The Elderly Consequences For Seeing Through A Blue Filtering Intraocular Lens British Journal Of Ophthalmology

Low Vision Test Card Acuity Charts Bernell Corporation

Gt Tfw 150 Vision Added By Hanakoikezawa At 60 Vision
Do You Have Vision If You Haven T Governor Jared Polis Facebook

Amazon Com Christian Dior Black Tie 222 Cat Eye Acetate Men Black 807 51 150 Clothing
Www Kcgov Us Documentcenter View 3972 Deputy Vision And Hearing Requirements Pdf

Dior Blacktie 8 263blk Black Eyeglasses Boutique In Eyeglass Brand Dior Men Dior

Driving And Visual Impairment Ppt Video Online Download

Hudson Sl 2 Brown Adult Safety Glasses

Nike 4090 013 Eyeglasses Frames 50 150 Gunmetal Rectangle For Sale Online Ebay
What Does Vision Mean American Academy Of Ophthalmology

Vision Development Milestones
Low Vision Is Characterized By Valley Vision Clinic Neenah Facebook

Causes And Degree Of Visual Impairment Download Table

Oregon S Visual Acuity Ohsu

Eye Society Robert K Lenox 52 150 Red Grey Half Rim Frames For Sale Online Ebay

Faq For Vision Improvement By Hormetism Getting Stronger

Glare And Lighting Factors Visual Impairment With Multiple Exceptionalities

The Vision Thing What Do Cats And Dogs Actually See C Ville Weeklyc Ville Weekly

What Is It Like To Have Low Vision A New Sight Simulator Can Help You Understand Visionaware

Development Of Vision
Q Tbn 3aand9gctb8b1ctwsqbgfsmzcoxtcpjm5cytp7fvffcalwngy1zjq9p3iu Usqp Cau

Laser Therapy May Offer Fast Acting Option For Csr Resolution Modern Retina

Celine Rx Eyeglasses Frames Cl J22 52 150 Blue Havana Made In Italy Rx Eyeglasses Eyeglasses Frames Eyeglasses

Atlantic Optical Brochure Spring Simplebooklet Com

Amazon Com Giorgio Armani Frames Of Life Ar 5066 Matte Black 51 150 Men Eyewear Frame Clothing

Surgical Outcomes Of Glaucoma Associated With Axenfeld Rieger Syndrome Bmc Ophthalmology Full Text
Q Tbn 3aand9gctstmhd4j L5pv3xny1 Ov62qlh O6v2uvwfwf Qu9srrrvr5km Usqp Cau

Estimating Visual Acuity By Character Counting Using The Snellen Visual Acuity Chart Eye

Shop Dior Homme 214 Light Gold Square Eyeglasses 51 150 On Sale Overstock

Low Vision Visual Acuity Book Precision Vision

Converting Vision Between Diopters And Xx

Repairing Traumatic Macular Holes Using Internal Limiting Membrane Flap Technique Consult Qd

Understanding Your Eyeglass Prescription Discovery Eye Foundation

Woman Presents With Vision Loss And Cough

Development Of Vision
How Bad Is 100 Eye Sight Quora

Computer Reading Glasses Ray Ban 4640 5943 Shiny Transparent 50 150 Hoya Le Ebay

Wine Vision Test Canvas Print By Hfaugusto Redbubble

Vsp Vision Simulator Vsp Vision Plans

Mmf 18a 121 Optical Jins Eyewear

Snellen Eye Test Charts Interpretation Precision Vision

Best How Vision Works Images Visions Visually Impaired Children Vision Impairment

Glare And Lighting Factors Visual Impairment With Multiple Exceptionalities
Http Www Teachingvisuallyimpaired Com Uploads 1 4 1 2 Sample Academic Optic Atrophy Fve Pdf

Guess By Marciano Rimless Eyeglasses Rx Optical Frame 49 150 W Sunglass Att Ebay

Vision Vs 0 Vision

Visual Acuity And Retinal Function In Patients With Bardet Biedl Syndrome

Blank Subtracted Positive Ion Mode Sesi Ms Spectra 150 M Z Of E Download Scientific Diagram

Vision Vs 0 Vision

Introduction To Blindness And Low Vision Ppt Download
.jpg)
Myopia Nearsightedness Eye Doctor In Elmhurst Il

Pdf Measuring Vision And Vision Loss
Www Ntac Blind Msstate Edu Courses Files Intro to bvi narrative Pdf

Is 0 Vision Bad Quora